26 novembre 2008
UN CASO DI PIOMETRA PERIPARTUM
Si tratta di una riccia gravida a termine,
travolta (forse) da un'auto, mentre attraversava una strada a Gallarate.
Il soccorritore, l'ha trovata, con un'ampia ferita aperta sul dorso, in
mezzo alla strada, mentre partoriva un cucciolino morto, verosimilmente
per effetto del trauma.
Dopo aver raccolta mamma e riccetto, li affidava al veterinario, il dr Gerard
Mangiagalli (collaboratore di SOS Ricci, in Lombardia), che dopo aver
constatato la morte del cucciolo, assisteva al parto di un secondo cucciolo,
parimenti nato morto.
Dopo il secondamento, l'esame della ferita evidenziava che in realtà la stessa risaliva a diversi giorni prima: fondo sanioso, bordi incrostati, secrezioni maleodoranti, colore scuro, dal viola-marrone al verdastro, presenza di materiale estraneo, verosimile sede di iniziale miasi. Non venivano rilevate altre lesioni esterne, nè al cranio nè agli arti; mancavano fratture, fatto che rendeva poco certo l'investimento da autoveicolo. Le condizioni generali non erano buone, l'indice di Bunnell sfavorevole, con un franco sottopeso ed una scarsa tendenza alla difesa e alla chiusura.
Le ipotesi più plausibili restano "l'incontro" con un decespugliatore o un urto marginale con un'auto, che ha sbalzato lateralmente l'animale, senza travolgerlo o colpirlo in toto.
Nei giorni successivi i feti (2?) sono morti ed il
ritrovamento, casuale, sulla strada, è stato di poco seguente alla loro morte
endouterina: i
2 neonati non avevano ancora segni certi di macerazione e di altre mutazioni
caratteristiche della morte in utero avanzata.
|
|
|
| Ferita dorsale - Fondo e bordi irregolari, con secrezioni maleodoranti e corpi estranei. | Ferita dorsale - Asportazione aculei e preparazione del campo operatorio. |
La semplice medicazione e detersione
antisettica della ferita dorsale era insufficiente ed il veterinario decide
per una toilette chirurgica, con l'asportazione del materiale necrotico
ed infetto.
|
|
|
| Ferita dorsale - Asportazione chirurgica del materiale necrotico e colliquato. | Ferita dorsale - Punti di sutura. |
|
|
Ferita dorsale - Rimozione della sutura. |
Nonostante il buon esito dell'intervento, con una buona cicatrizzazione della ferita, le condizioni generali della riccia continuavano a peggiorare: aumento del volume del solo addome, con perdita di peso, febbre, anoressia e vomito, letargia, poliuria, polidipsia (aumento assunzione di acqua) e diarrea.
|
|
|
|
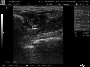
Ecografia pelvica - In alto vescica (anecogena e ben delimitata), immediatamente sotto il fondo regolare dell'utero (ipoecogeno). 19\07\2008 |
Ecografia pelvica - Vescica regolare (in alto a sinistra); in alto a destra fondo uterino con cavita endometriale appena delimitata. 21\07\2008 |
Un'ecografia, fatta subito dopo il parto aveva evidenziato un utero
compatibile con il puerperio normale, ma la comparsa, successiva, di secrezioni
vaginali purulente, seppure scarse faceva prendere in considerazione l'ipotesi
di una endometrite purulenta: la piometra.
Piometra è la presenza di materiale mucopurulento nella cavità uterina, dove si raccoglie per effetto di un'infezione, per lo più batterica.
Negli animali ha una significativa frequenza ed è facilitata dal ciclo estrale. E' legata alla produzione di progesterone, nella seconda fase del ciclo (post ovulatoria), che stimola l'attività secretoria delle ghiandole endometriali, mantenendo ispessito e trofico l'endometrio stesso, che appare particolarmente edematoso ("gonfio" e ricco di liquidi). Si viene a creare, pertanto, un ambiente favorevole ad accogliere, non solo eventuali spermatozoi, "di passaggio", per la fecondazione, ma anche e purtroppo, di microrganismi che trovano un ambiente ideale da colonizzare. Molto spesso sono germi intestinali (es. E. coli), che passano attraverso i vasi linfatici, nelle vie genitourinarie oppure microbi che entrano dalla vagina (nei ricci, ad esempio, la vulva striscia sul suolo) e passano attraverso il canale cervicouterino (aperto, in questa fase del ciclo, per permettere il passaggio degli spermatozoi) nella cavità uterina.
Lo stato immunitario ha, inoltre, una grande importanza per controllare, in senso inibitorio, il fenomeno: condizioni debilitanti, anemia (da emorragie, zecche, pulci, ...), presenza di altre malattie (soprattutto epatiche e renali, ma anche cardiache) favoriscono e facilitano l'attecchimento e la moltiplicazioni i svariati germi. Statisticamente, negli animali, in generale, è una patologia del periodo fertile e al di fuori della gravidanza, nella fase progestinica del ciclo.
La nostra riccia, al contrario, è stata interessata da questa patologia nel periodo puerperale, ma patogenesi ed evoluzione sono essenzialmente le stesse; stress iniziale da trauma, declino delle condizioni generali per l'infezione della ferita e del sottopeso, ritenzione di feti morti, emorragia del parto, endometrio labile ed indifeso dopo il secondamento, bocca uterina aperta, "strisciamento" vulvare, ... hanno creato le condizioni ideali per la colonizzazione batterica purulenta della cavità endometriale, con piometra di tipo aperto (aperto: fuoriuscita dalla cervice uterina e successivamente dalla vagina di scolo purulento; chiuso: contenimento nell'utero del pus.
|
|
|
| Ecografia pelvica - Ben evidente la cavità uterina. 05\08\2008 |
|
La diagnosi è stata confermata da una successiva ecografia che ha evidenziato un utero ingrossato, con materiale ipo\anecogeno nella cavità endometriale (pus) e miometrio ipoecogeno; gli esami ematici hanno rilevato una caratteristica leucocitosi.
L'evoluzione naturale della piometra difficilmente è a prognosi fausta, più comunemente porta a morte per complicanze settiche, endotossiemia e peritonite.
Le non buone condizioni generali hanno sconsigliato la sola terapia antibiotica, inducendo Gerard ad optare per un intervento demolitivo, con l'asportazione di utero ed ovaie.
|
|
|
| Isterectomia laparotomica - Intubazione anestesiologica.
|
Isterectomia laparotomica - Preparazione del campo chirurgico. |
|
|
Isterectomia
laparotomica: preparazione del campo |
|
|
|
||
|
Isterectomia laparotomica: sutura della parete. |
|
La ripresa dopo l'intervento è stata molto più
buona di quanto non fosse preventivabile, con recupero di peso e buone
condizioni vitali.
Una radiografia digitale, a 2 mesi dall'intervento, ha evidenziato un
quadro di normalità: viene confermata l'assenza di lesioni ossee, mancanza di
livelli idroaerei addominali, una normale aerazione toracica ed una regolare
conformazioni degli organi addominali esplorabili.
![]() |
|
Rx digitale - 17\10\2008 |
La riccia è attualmente, presso la sede di via Cantone, a Reggiolo, di SOS Ricci, per la riabilitazione e per passare il periodo del letargo, in attesa della liberazione, durante la prossima primavera.